Home
(current)
About Us
Services
Teeth whitening
Check-ups
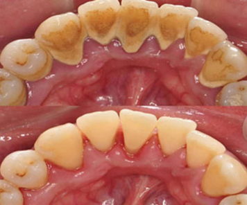
Teeth cleaning
Teeth reshaping
Crowns and Bridges
Pit and fissure fillings
BPS Dentures Fixing
Teeth bleaching
Gum Disease Treatment/ Surgery
Straightening Teeth
Porcelin fused crown and bridges
Painless root canal treatment
Veeners
Dental Implants Periodontist
Cosmetic Fillings
Gallery
Blog
Contact Us
Make an Appointment
Home
Blog
Read Our Blog
Our Latest Blog
What is the most effective way of bleaching teeth?
Read More
Can gum disease be cured with surgery?
Read More
Can I naturally straighten teeth?
Read More
What is a PFM bridge?
Read More
Can a root canal be done without pain?
Read More
Can you get dental implants with periodontal?
Read More
Make an Appointment
×